include("/home/www/dominios/www.socv.org/admin/abredb.php"); include("/home/www/dominios/www.socv.org/admin/admin/config.inc"); include("/home/www/dominios/php/cargarvblestsesiones.php"); ?>
![]() |
|
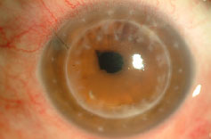
Me han hecho un trasplante de cornea. ¿Qué síntomas deben hacerme poner en contacto con mi oftalmólogo? El transplante de córnea sólo puede realizarse en centros debidamente acreditados para ello. Es una operación que precisa de un control sistemático por parte del oftalmólogo cirujano con su equipo y de un riguroso cuidado por parte del paciente. Una vez que un paciente es incluido en la lista de espera para el transplante, debe esperar a que haya una donación de una córnea compatible con su grupo sanguíneo, fundamentalmente el grupo ABC, para así al ser lo más compatible posible disminuir la probabilidad de rechazo; no obstante según los casos será necesario tomar pastillas antirrechazo (inmunosupresores). Inicialmente tras la intervención debe revisarse cada 3 días y semanalmente hasta cumplir el mes, mes y medio; posteriormente mensualmente hasta cumplir los dos o tres meses, pasando a un control semestral y anual si no surge ninguna complicación y la evolución está siendo satisfactoria. En cada visita se revisará que el botón corneal transplantado sea transparente, que la sutura esté coaptada, que el globo ocular esté herméticamente cerrado con conservación del tono, que no haya ningún signo de infección que pueda contribuir a un posible rechazo y la presión intraocular; además según los casos pueden ser necesarias otras exploraciones complementarias.
La agudeza visual que se vaya obteniendo va a depender en primera instancia del problema causante del transplante de córnea; la mejoría va a ser lentamente progresiva en 6-8 meses; no obstante su médico oftalmólogo le irá informando según su caso particular. La sutura se retira de forma individualizada en el momento que se considere más oportuno; podemos aproximarnos si consideramos un año para casos de queratoconos y distrofias corneales y unos 18 meses para transplantes de córnea debido a causas infecciosas. Todo portador de un transplante corneal debe conocer los signos y síntomas que le deben alertar y que le deben llevar a visitar a su médico oftalmólogo; entre ellos señalamos: -Disminución de la agudeza visual, visión nublada -Ojo rojo con dolor o más molestias de lo habitual -Secreciones Ante cualquiera de estos signos es conveniente sea revisado por su oftalmólogo; ya que si se trata de un episodio de rechazo es importante iniciar un tratamiento precoz.
Todo portador de un transplante corneal debe saber que en cualquier momento puede sufrir un episodio de rechazo , por lo que debe cumplir las instrucciones de su médico oftalmólogo, estableciendo una relación médico–paciente basada en la mutua confianza. Dra.Emma Ausín González
|
|||||||||||||||
Sociedad Oftalmológica de la Comunidad Valenciana informacion@socv.org Avda. de la Plata, 20 46013 Valencia |
||||||||||||||||